DỊ VẬT ĐƯỜNG TIÊU HÓA Ở BÉ TRAI 5 TUỔI NUỐT MÓC CHÌA KHÓA
17/09/2025 56 Hoạt Động
Hoạt động
Ngày 14/9/2025, Bệnh Viện Đa Khoa Châu Đốc – An Giang cho biết: bệnh viện vừa nội soi can thiệp gắp thành công móc chìa khóa trong lòng thực quản ở bệnh nhi 5 tuổi.
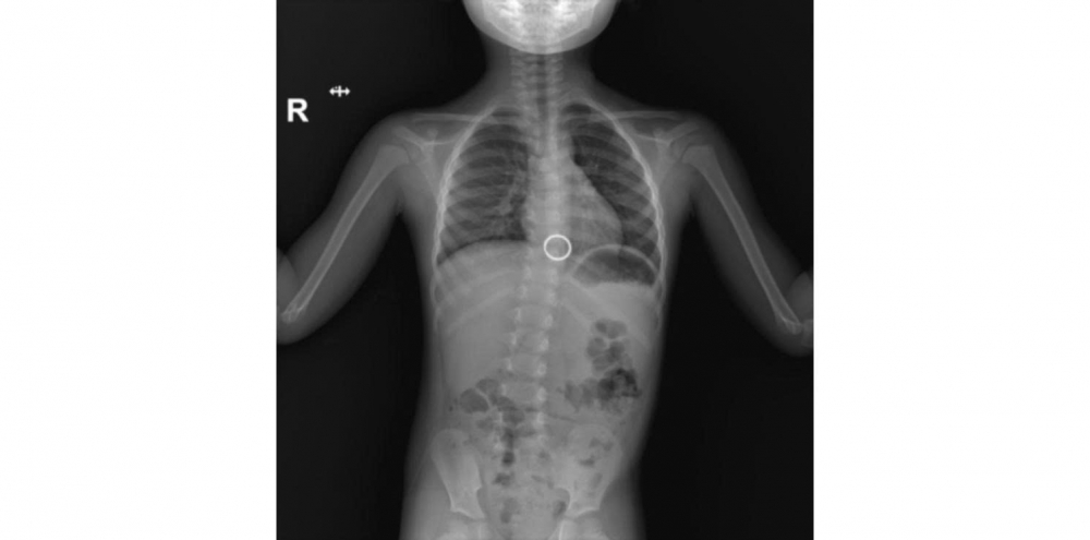
Theo đó, khoảng 13 giờ ngày 14/9, bé trai Trần Chí K (5 tuổi, ngụ xã Thạnh Mỹ Tây – An Giang) khi chơi đùa vô tình nhặt và nuốt móc chìa khóa bằng kim loại vào miệng. Ngay sau khi nuốt bé nói với cha, người nhà lo lắng đưa bé đi vào khoa cấp cứu bệnh viện. Qua hỏi bệnh và xem hình ảnh dị vật do người thân chụp bằng điện thoại các bác sĩ đã nhanh chóng hội chẩn, chụp X-quang, xác định vị trí dị vật trong đường tiêu hóa có nguy cơ tổn thương niêm mạc thực quản.
Đây là trường hợp dị vật đường tiêu hóa khó và nguy hiểm do bé còn nhỏ, dị vật to. Ngay lập tức ê kíp tiến hành hội chẩn phương án nội soi gắp dị vật có gây mê, chuẩn bị dụng cụ, .. và bắt đầu tiến hành nội soi gắp dị vật cho bé. Ống nội soi được đưa vào miệng đi xuống đoạn 1/3 dưới thực quản ghi nhận có hình ảnh móc khóa màu vàng dạng vòng nhẫn tròn. Ekip BS nội soi và gây mê tiến hành gắp móc khóa ra trong thời gian nhanh chóng khoảng 60 giây. Nội soi kiểm tra lại thấy dị vật chưa gây trầy sướt đường tiêu hóa. Bệnh nhi được theo dõi chờ hồi tỉnh sau gây mê và xuất viện sau 1 ngày nội soi can thiệp.
Đại diện ê kíp, BS Khoa Nội Soi – Thăm Dò Chức Năng cho biết: Dị vật đường tiêu hóa là một tai nạn sinh hoạt có thể xảy ra ở mọi lứa tuổi trong mọi điều kiện, hoàn cảnh nhất là trẻ em nhỏ. Tại khoa Khoa Nội Soi – Thăm Dò Chức Năng đã nội soi gắp nhiều dị vật ở đường tiêu hóa như xương cá, viên thuốc còn vỏ, pin đồng hồ, nam châm… Trong trường hợp này nếu không được chẩn đoán sớm, xử trí kịp thời dị vật có thể trôi xuống ruột dễ dẫn tới các biến chứng như chảy máu hay thủng đường tiêu hóa. Trường hợp phát hiện trễ khi nuốt dị vật, dị vật trôi xuống ruột non thì không thể gắp qua nội soi được, trường hợp dị vật nằm lâu trong đường tiêu hóa có thể gây xuất huyết hoặc thủng đường tiêu hóa.
Khuyến cáo dành cho phụ huynh:

Theo đó, khoảng 13 giờ ngày 14/9, bé trai Trần Chí K (5 tuổi, ngụ xã Thạnh Mỹ Tây – An Giang) khi chơi đùa vô tình nhặt và nuốt móc chìa khóa bằng kim loại vào miệng. Ngay sau khi nuốt bé nói với cha, người nhà lo lắng đưa bé đi vào khoa cấp cứu bệnh viện. Qua hỏi bệnh và xem hình ảnh dị vật do người thân chụp bằng điện thoại các bác sĩ đã nhanh chóng hội chẩn, chụp X-quang, xác định vị trí dị vật trong đường tiêu hóa có nguy cơ tổn thương niêm mạc thực quản.
Đây là trường hợp dị vật đường tiêu hóa khó và nguy hiểm do bé còn nhỏ, dị vật to. Ngay lập tức ê kíp tiến hành hội chẩn phương án nội soi gắp dị vật có gây mê, chuẩn bị dụng cụ, .. và bắt đầu tiến hành nội soi gắp dị vật cho bé. Ống nội soi được đưa vào miệng đi xuống đoạn 1/3 dưới thực quản ghi nhận có hình ảnh móc khóa màu vàng dạng vòng nhẫn tròn. Ekip BS nội soi và gây mê tiến hành gắp móc khóa ra trong thời gian nhanh chóng khoảng 60 giây. Nội soi kiểm tra lại thấy dị vật chưa gây trầy sướt đường tiêu hóa. Bệnh nhi được theo dõi chờ hồi tỉnh sau gây mê và xuất viện sau 1 ngày nội soi can thiệp.
Đại diện ê kíp, BS Khoa Nội Soi – Thăm Dò Chức Năng cho biết: Dị vật đường tiêu hóa là một tai nạn sinh hoạt có thể xảy ra ở mọi lứa tuổi trong mọi điều kiện, hoàn cảnh nhất là trẻ em nhỏ. Tại khoa Khoa Nội Soi – Thăm Dò Chức Năng đã nội soi gắp nhiều dị vật ở đường tiêu hóa như xương cá, viên thuốc còn vỏ, pin đồng hồ, nam châm… Trong trường hợp này nếu không được chẩn đoán sớm, xử trí kịp thời dị vật có thể trôi xuống ruột dễ dẫn tới các biến chứng như chảy máu hay thủng đường tiêu hóa. Trường hợp phát hiện trễ khi nuốt dị vật, dị vật trôi xuống ruột non thì không thể gắp qua nội soi được, trường hợp dị vật nằm lâu trong đường tiêu hóa có thể gây xuất huyết hoặc thủng đường tiêu hóa.
Khuyến cáo dành cho phụ huynh:
- Không để trẻ chơi một mình với các dị vật nhỏ, nhọn, dễ nuốt.
- Cất giữ đồ dùng nguy hiểm như móc khóa, pin, đinh, hạt cườm, bóng đèn led, nam châm,… ngoài tầm tay trẻ.
- Khi phát hiện trẻ nuốt dị vật:
- Không được nuốt cơm hay thức ăn vào thêm tránh dị vật trôi xuống ruột, không được móc họng tránh làm trầy xước đường tiêu hóa gây chảy máu, thủng đường tiêu hóa hoặc dị vật dễ rơi vào phổi.
- Đưa trẻ đến cơ sở y tế gần nhất để được gắp qua nội soi.


Hotline